Metamorfoza Uśmiechu Warszawa
W klinice Modern Dental & Orthodontics w Warszawie nie tylko leczymy zęby, ale przede wszystkim przywracamy pewność siebie. Specjalizujemy się w kompleksowych metamorfozach uśmiechu. Poniżej prezentujemy wybrane efekty leczenia, które udało się osiągnąć dzięki połączeniu nowoczesnej technologii z pasją naszego zespołu.
Jeden gabinet, kompleksowe metamorfozy stomatologiczne
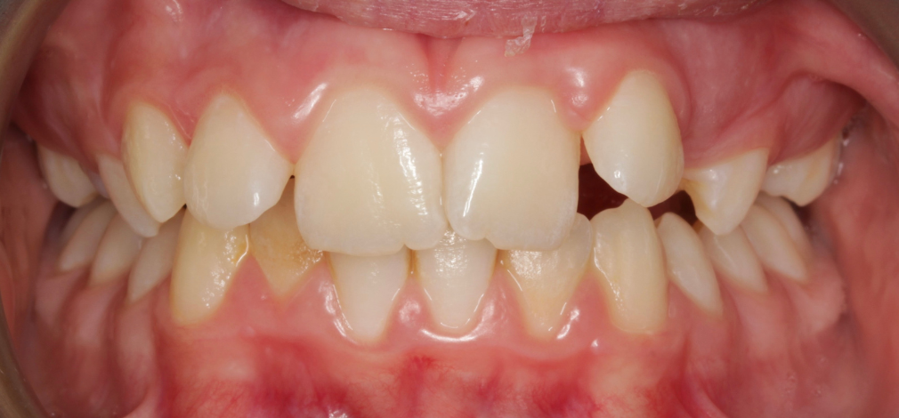
Korekta estetyki i przywrócenie funkcji zgryzu
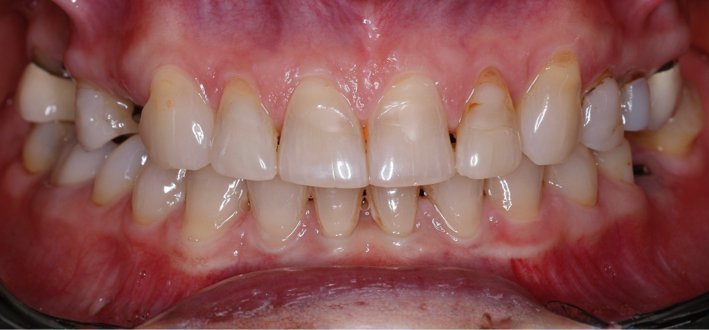
Korekta estetyki uśmiechu, a jednocześnie przywrócenie prawidłowej funkcji zgryzu pacjentki możliwe było dzięki współpracy wielospecjalistycznej naszego zespołu.
Na początku braki zębowe w odcinkach bocznych odbudowane zostały implantami. Równolegle część zębów poddana została rewizji leczenia endodontycznego, aby wyeliminować istniejący stan zapalny. Kolejnym krokiem było zastosowanie szyny, jako przygotowanie do rekonstrukcji wysokości zwarcia. W etapie finalnym na implantach osadzone zostały korony cyrkonowe oraz ceramiczne, natomiast estetykę odcinka przedniego dopełnił bonding.
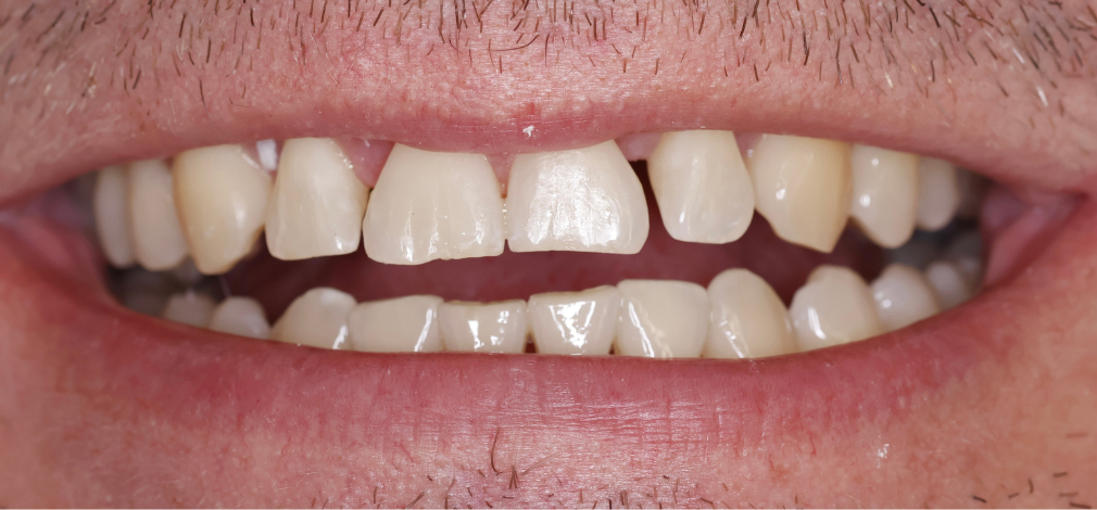
Ze względu na niezadowalający odcień szkliwa, Pacjent zdecydował się na wybielanie lampą Beyond. Technologia ta wykorzystuje zaawansowany system filtracji światła, który eliminuje szkodliwe promieniowanie UV i podczerwone.
W efekcie procedura jest całkowicie bezpieczna i komfortowa. Już po około 60 minutach w fotelu dentystycznym uzyskano wyraźny efekt rozjaśnienia, przywracając zębom zdrowy wygląd.
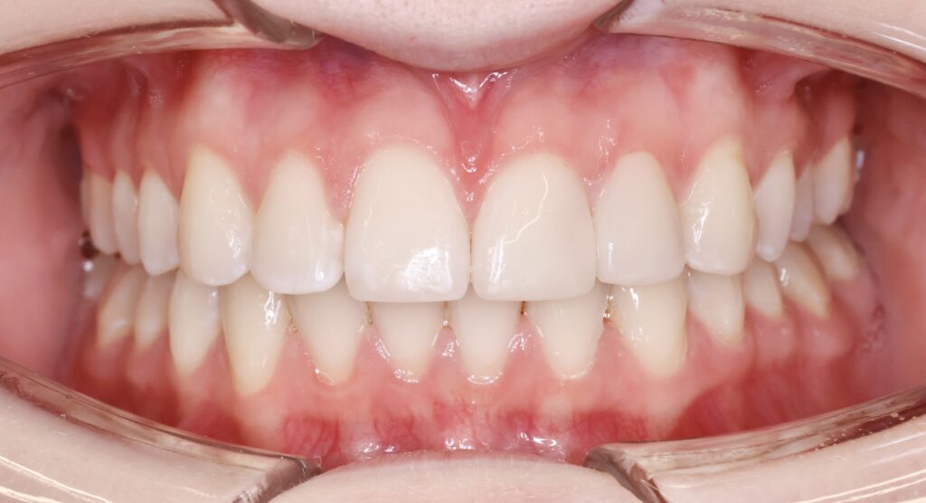
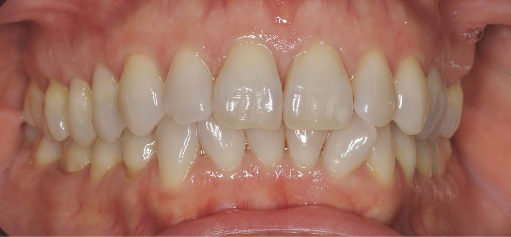
Zmiana estetyki uśmiechu została przeprowadzona bezpośrednio po zdjęciu aparatu stałego.
Najpierw oczyszczono powierzchnię szkliwa z resztek kleju, a następnie wykonano gingiwoplastykę. Zabieg ten polegał na korekcie wysokości dziąsła nad siekaczem bocznym, aby jego długość odpowiadała rozmiarowi jednoimiennego zęba po stronie lewej.
Na koniec, metodą bondingu, zmodyfikowano również kształt siekaczy bocznych oraz kłów.
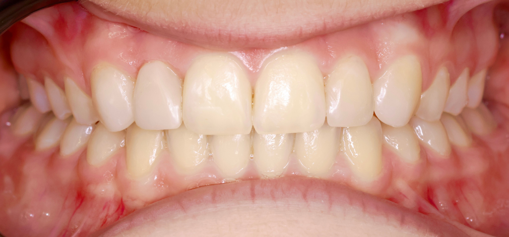
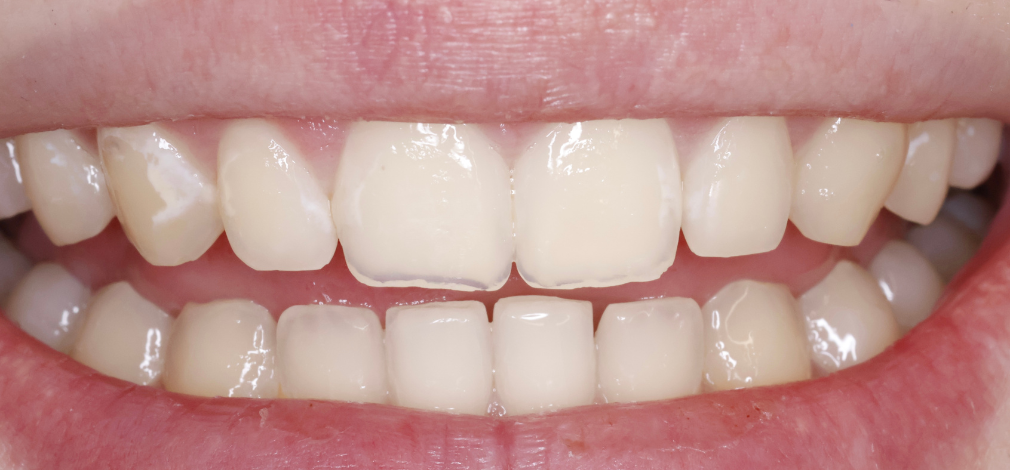
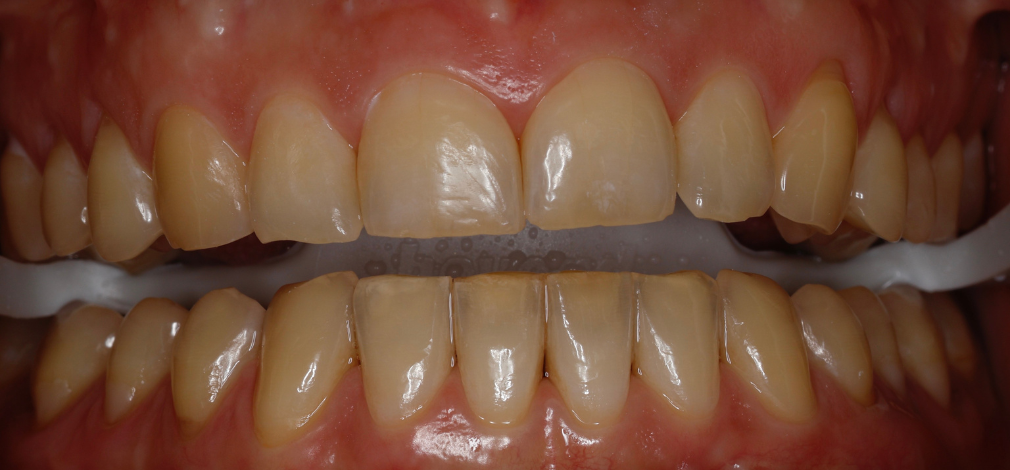
Wykonana została korekta estetyczna białych plam demineralizacyjnych na gładkich powierzchniach zębów. Co istotne, zabieg wykonano bez borowania, jedynie poprzez infiltrację szkliwa płynną żywicą (ICON).
Warto zaznaczyć, że widoczne odwapnienia były efektem niedostatecznej higieny podczas wcześniejszego leczenia aparatem stałym.
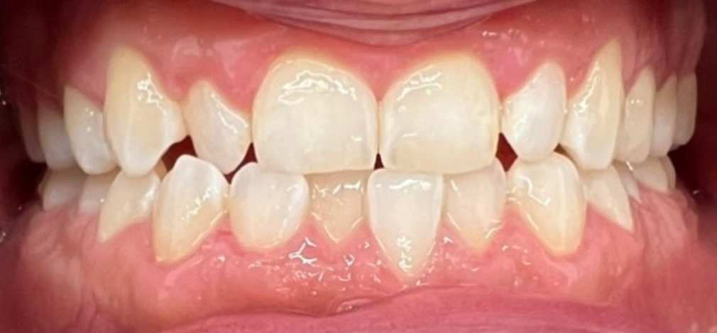
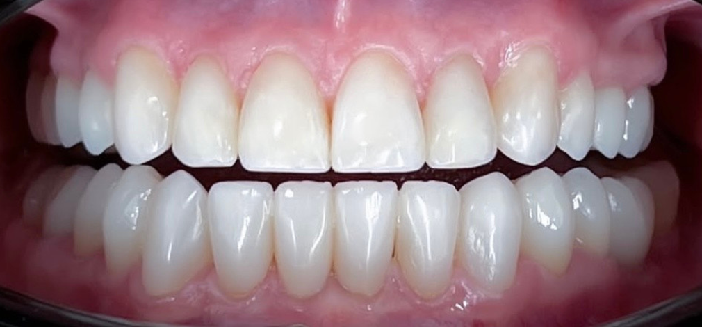
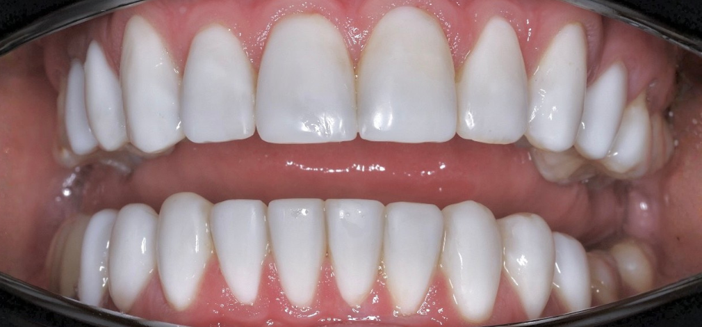
Leczenie ortodontyczne złożonej wady zgryzu przeprowadzono z zastosowaniem aparatów stałych metalowych. Nadmiernie wychylone górne zęby sieczne wymagały pionizacji, aby uzyskać prawidłową i estetyczną ekspozycje w uśmiechu.
Skorygowano także kształt łuków zębowych, zamknięto istniejące przestrzenie, a finalnie uzyskano stabilne kontakty zgryzowe pomiędzy szczęką a żuchwą.
Po zakończonym leczeniu ortodontycznym wykonano wybielanie, a następnie bonding w jasnym odcieniu, wybranym przez pacjenta.
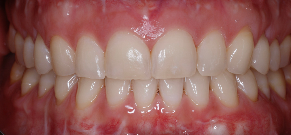
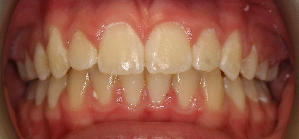
Leczenie ortodontyczne przeprowadzone z zastosowaniem aparatów stałych metalowych. Początkowo problemem pacjenta były zaawansowane stłoczenia oraz nieprawidłowa relacja zębów górnych i dolnych.
Dzięki zastosowaniu precyzyjnych zamków i łuków ortodontycznych, możliwe było stopniowe i kontrolowane przemieszczanie zębów do ich właściwych pozycji. W rezultacie ta metamorfoza uśmiechu zakończyła się pełnym uszeregowaniem, prawidłowym kontaktem zgryzowym oraz estetyczną linią uśmiechu.
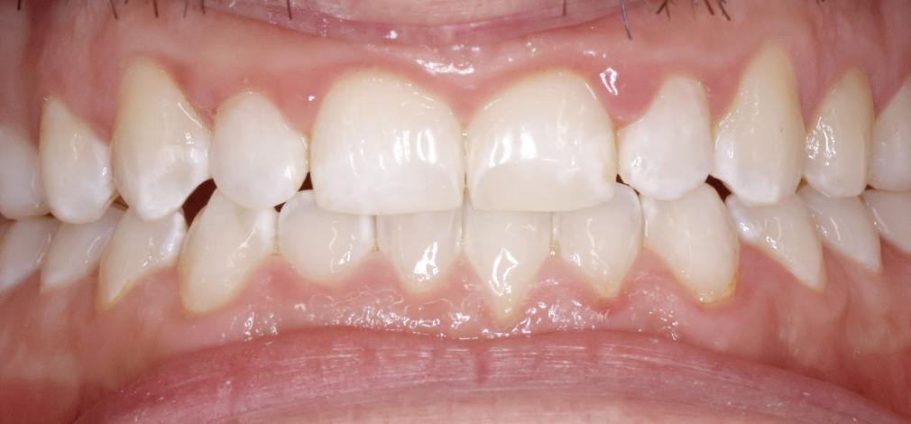
U pacjenta przeprowadzono leczenie ortodontyczne wady zgryzu z zastosowaniem aparatów stałych.
Następnie, jako ostatni etap metamorfozy, wykonano bonding. Było to konieczne ze względu na zaburzenie kształtu oraz proporcji szerokościowych zębów przednich.
Metamorfoza uśmiechu uzyskana dzięki leczeniu ortodontycznemu systemem nakładkowym Invisalign w wariancie Moderate. Proces ten polegał na noszeniu serii indywidualnie zaprojektowanych alignerów z biokompatybilnego tworzywa.
Ze względu na występujące stłoczenia zębów, plan leczenia uwzględniał precyzyjne poszerzenie łuków i rotację zębów do pożądanych pozycji. Ostateczny efekt leczenia to prawidłowe kontakty międzyzębowe oraz estetyczne ustawienie siekaczy.
Ta kompleksowa metamorfoza uśmiechu to przykład leczenia hybrydowego. Podstawą terapii był system nakładkowy Invisalign w wariancie Moderate, który pozwolił na skuteczne i precyzyjne uszeregowanie zębów.
Po zakończeniu fazy aktywnego przesuwania i stabilizacji zgryzu, przystąpiono do zabiegu wybielania. Zastosowanie lampy Beyond pozwoliło na szybkie i bezpieczne rozjaśnienie szkliwa. W efekcie leczenia uzyskano perfekcyjną synergię – idealnie proste zęby o jasnym odcieniu.
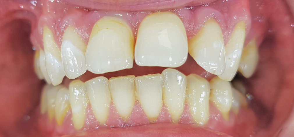
Metamorfozę uśmiechu naszej pacjentki rozpoczęliśmy od leczenia wady zgryzu z zastosowaniem aparatów stałych metalowych. Kolejnym etapem był zabieg wybielania gabinetowego systemem Beyond.
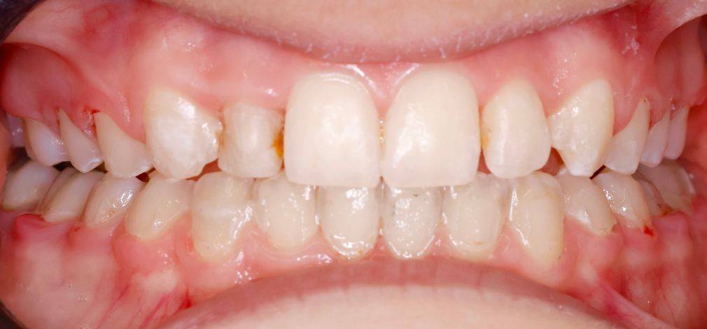
Problemem u naszej pacjentki było starcie brzegu siecznego lewej górnej jedynki a także mniejszy rozmiar lewej dwójki w relacji do zęba jednoimiennego po przeciwnej stronie. Bonding tych dwóch zębów – jedynki i dwójki pozwolił uzyskać idealną symetrię i estetykę zębów przednich.
Opinie naszych pacjentów
Opublikowano na Lukasz Rzeczkowski Najlepsza klinika w Warszawie! Ortodoncja starannie dopracowana do każdego szczegółu. Świetna obsługa, wspaniale dentystki i higienistki! Najważniejsza rzecz to jakość leczenia bo to jest kluczowe.Opublikowano na Grzegorz Cieślik Widać z oddali jaki piękny uśmiech Ci dali. Polecam klinikę i zespół prawdziwych pasjonatów profesjonalistów. Podejście oraz nowoczesny sprzęt oraz międzynarodowa ekspertyza stawia klinikę w top of the top.Opublikowano na Marcin Lapinski Zazwyczaj nie przepadam za wizytami u dentysty, ale tutaj zostałem bardzo pozytywnie zaskoczony. Personel wykazał się pełnym profesjonalizmem i dużym zaangażowaniem – od pierwszego kontaktu aż po zakończenie wizyty czułem się dobrze zaopiekowany. Było spokojnie i bez stresu, dlatego jeszcze tutaj wrócę. Zdecydowanie polecam każdemu.Opublikowano na Agnieszka Biń Jestem po półtorarocznym leczeniu ortodontycznym u dr Ewy Prażmo i z całego serca polecam to miejsce. Na każdym etapie spotykałam się tu z pełnym profesjonalizmem, dokładnością i życzliwym podejściem. Jeśli szukasz gabinetu, w którym naprawdę kompleksowo zadbają o Twoje zęby – właśnie go znalazłeś! Po zdjęciu aparatu trafiłam w ręce Pani Wiktorii, która perfekcyjnie wyrównała i odbudowała moje przednie zęby. Efekt przeszedł moje oczekiwania, a uśmiechdosłownie nie schodzi mi z twarzy. Serdecznie polecam cały zespół! 🦷🤗Opublikowano na Robert Pełen profesjonalizm! Zdecydowanie polecam!Opublikowano na Marek Trzos-Rastawiecki Bardzo profesjonalnie. Nowoczesna klinika, miła obsługa, wszystko wykonane sprawnie, bez żadnych problemów. Polecam!Opublikowano na Martin Z I had a fantastic experience at Modern Dental recently. The staff was very professional, knowledgable, and welcoming. The treatment options and process were well explained and I felt confident about undergoing the procedure. Everything went smoothly and I am very happy with the results. I will be bringing the rest of my family to Modern Dental when needed. Highly recommend!Opublikowano na Wojtek Szwankowski Bardzo polecam !!Opublikowano na Wojciech K Fajnie byc wśród najlepszych . Serdecznie polecam.